site_logo
  1. الرئيسية
  2. تبييض اسنان

تبييض اسنان

تبييض اسنان

تبييض الأسنان هو إجراء تجميلي يهدف إلى تحسين لون الأسنان وجعلها أكثر إشراقًا وجاذبية. مع مرور الوقت، قد تصاب الأسنان ببقع أو تغير في اللون نتيجة عوامل مختلفة، مثل شرب القهوة، الشاي، النبيذ الأحمر، التدخين، بعض الأدوية، وكذلك التقدم الطبيعي في العمر. يساعد تبييض الأسنان على إزالة هذه التصبغات واستعادة ابتسامة مشرقة وشبابية.

يمكن إجراء التبييض داخل العيادة بواسطة طبيب الأسنان أو في المنزل باستخدام مجموعات مخصصة بوصفة طبية. عادةً ما تستخدم العلاجات داخل العيادة مواد تبييض أقوى وتقنيات ضوء أو ليزر لتسريع عملية التبييض، وغالبًا ما تحقق نتائج واضحة في جلسة واحدة. أما علاجات المنزل، مثل القوالب أو الشرائط المبيضة، فتوفر تبييضًا تدريجيًا وفعالًا على مدار أيام أو أسابيع.

تبييض الأسنان لا يقتصر على الجانب الجمالي فقط، بل يمكن أن يُسهم في:

  • زيادة الثقة بالنفس

  • تشجيع الحفاظ على نظافة الفم والأسنان

  • تحسين المظهر العام للوجه

تم تصميم منتجات التبييض الحديثة لتكون آمنة على مينا الأسنان، مع الحد الأدنى من الحساسية عند استخدامها بالشكل الصحيح وتحت إشراف طبي.

مزايا التبييض الاحترافي تشمل:

  • تحسين كبير وملحوظ في لون الأسنان

  • نتائج سريعة وفعالة

  • تطبيق آمن وتحت مراقبة طبيب الأسنان

  • تعزيز الثقة بالنفس

  • ابتسامة أكثر شبابًا وحيوية

باختصار، يُعد تبييض الأسنان طريقة بسيطة وفعّالة لتحسين ابتسامتك والحصول على مظهر طبيعي ومشرق يعكس صحة الفم والعناية به.

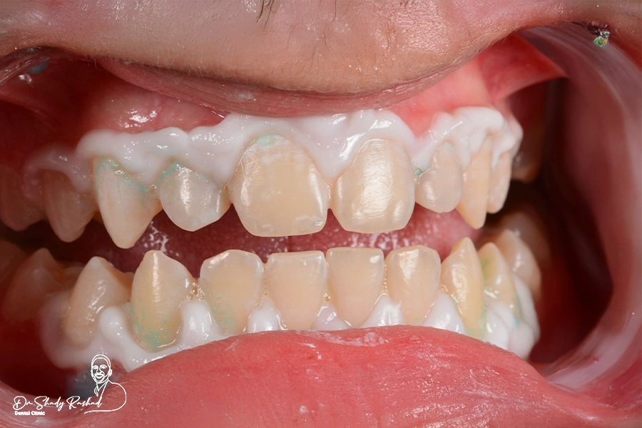
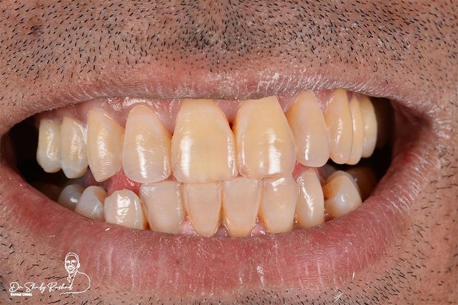
نتائج قبل وبعد

شاهد نتائجنا المذهلة

قبل بعد
قبل بعد
قبل بعد

الخدمات

اتصل بنا